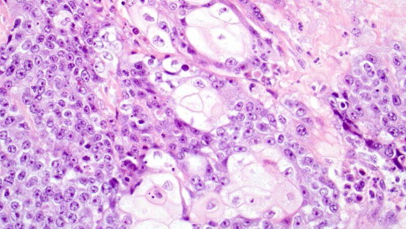
FDA Approves Fam-Trastuzumab Deruxtecan-nxki With Pertuzumab for First-Line Treatment of HER2-Positive Metastatic Breast Cancer

FDA Approves Fam-Trastuzumab Deruxtecan-nxki With Pertuzumab for First-Line Treatment of HER2-Positive Metastatic Breast Cancer

Advanced Urologic Cancer Consensus Conference (AUC3) 2025 - ACS Journals

Urologic Cancer

Gevorg Tamamyan: We Can Do More…

Gevorg Tamamyan

Clifford Hudis Encourages ASCO Members to Participate in the 2025 Survey as It Nears Close

Clifford Hudis

Senator Ron Johnson Thanks Secretary Kennedy for Advocacy in Early Sscreening for Rare Diseases

Ron Johnson

Richard R. Barakat: A Powerful Northwell Cancer Institute–START Collaboration Bringing Early-Phase Trials to Patients

Richard R. Barakat

Meet the 2025 BCRF-AACR Career Development Award Recipients - AACR

Meet the 2025 BCRF-AACR Career Development Award Recipients - AACR

Arnaud Lallouette: Energy, Ambition, and Teamwork Across the Servier Performance Summit 2025 Tour

Arnaud Lallouette

Hidehito Horinouchi