Kashyap Patel, Medical Director and Consultant at Blue Cross Blue Shields of South Carolina, Past President at Community Oncology Alliance, shared a post on LinkedIn:
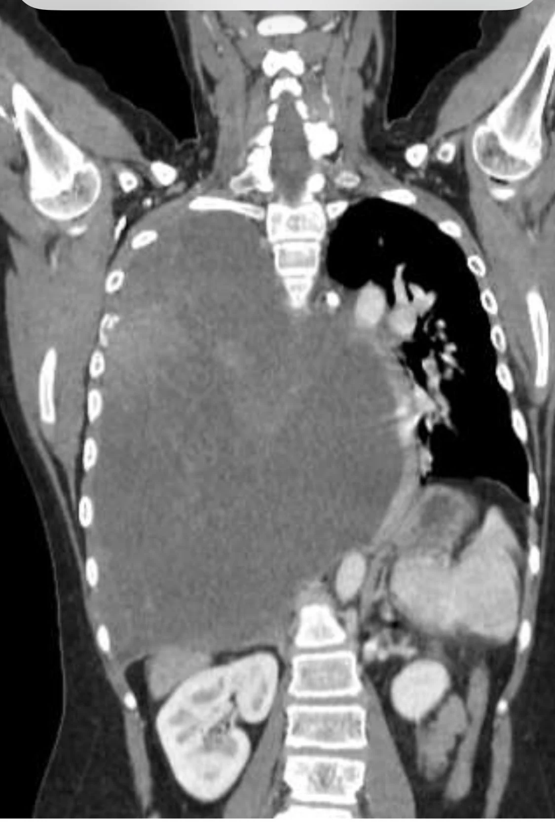
“In my 35 years as an oncologist, I have never encountered such a rapidly progressive case of Sarcoma in a 13-year-old child. This child, who was previously healthy and active, suddenly developed shortness of breath, cough, and rib pain. Imaging revealed that the entire right lung is replaced with a tumor, pushing the heart to the side. Notably, the largest reported Ewing Sarcoma has been less than half the size of this case in terms of 3D dimensions.
This raises questions about the emergence of ‘turbo cancers.’ There has been a concerning 50% surge in colon cancer among individuals aged 25-49 since 2020. Is anyone paying attention to this trend? Some researchers are suggesting a possible link to post-COVID inflammation.
Key points to consider:
- Long COVID is now more costly per member for health plans than diabetes.
- Approximately 4 million Americans are currently unable to work due to Long COVID, resulting in $170 billion in lost wages.
- Long COVID patients often see up to 12 specialists before reaching a Long COVID clinic.
- Investigators are concerned about the relationship between chronic inflammation and molecular changes observed through microRNA assays.
- There is a rise in cancer stage migration, potentially linked to inflammation-related cancers, whether due to post-acute sequelae of SARS-CoV-2 (PASC) or stress—evidence is needed to establish this connection.
- Nearly 9% of Hispanic adults currently have Long COVID, which is higher than non-Hispanic White (7.5%) and Black (6.8%) adults, and more than double the percentage of non-Hispanic Asian adults (3.7%). Women are also more likely to experience Long COVID (9.4% vs. 5.5%), which may impact health disparities.
These developments warrant serious attention and further investigation into their implications for public health and cancer treatment.”

More posts featuring Kashyap Patel.