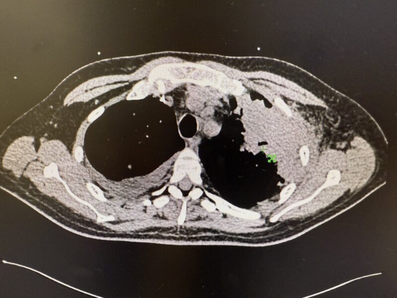
Talha Badar, Hematology/Oncology Specialist at Mayo Clinic, shared a post on X:
“41 yrs old with AML required re-induction due to residual disease at D14. Culture proven invasive aspergillosis refractory to Posaconazole.
How to manage:
- Reassess diagnosis: check drug levels, Asp resistance mutation TR34/L98H (susceptibility testing), r/o co-mutations mucorales/bacterial.
- Switch to Liposomal Amphotericin B, Dose: 5-10 mg/kg IV once daily.
- If refractory to AmB, Isavuconazole.
- Combination therapy in selected cases
- Surgical consult for debridement.”

More posts featuring Talha Badar on OncoDaily.