Sanam Loghavi, Associate Professor of Pathology at MD Anderson Cancer Center, Medical Director of ECOG-ACRIN Leukemia Bank and Editor in Chief of Image Bank at the American Society of Hematology, reshared a post:
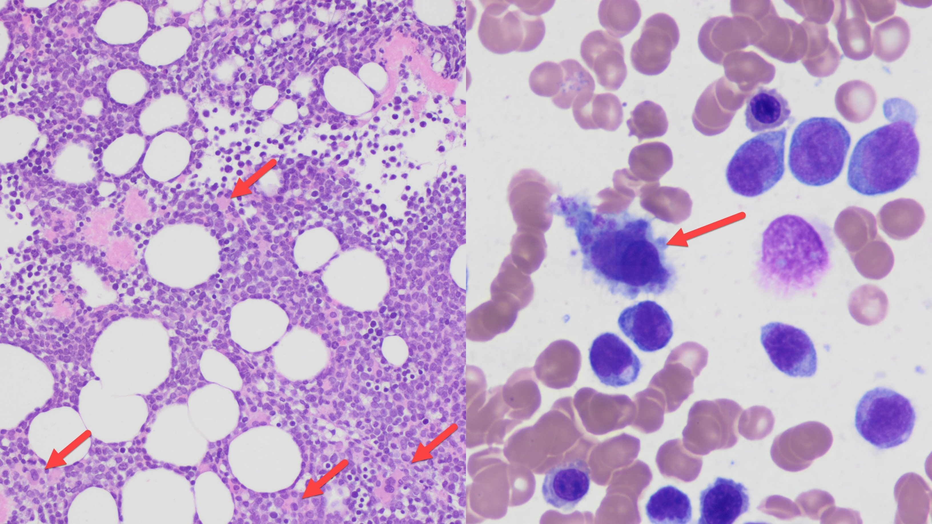
“Can you spot acute myeloid leukemia (AML) with inversion of chromosome 3 — inv(3)(q21q26) — when you see it?
It’s among the most aggressive forms of AML. Diagnostic clues: marked anemia and normal platelet count, multilineage dysplasia with or without megakaryocytic hyperplasia and strikingly small megakaryocytes (red arrows).”

The chromosomal inversion repositions a distal GATA2 enhancer to activate the oncogene EVI (MECOM)at 3q26 and confer GATA2 haploinsufficiency to promotes megakaryocyte-lineage skewing and leukemogenesis.

In light of Tatiana Schlossberg sharing her battle acute myeloid leukemia (AML) with chromosome inversion 3 — inv(3) (MECOM-rearranged). I’m reviving to shed more on this disease in hopes of funding for AML. I dream of a day when AML with inv(3) is no longer a death sentence.”
More posts about Acute Myeloid Leukemia.