Ronald Chen, Professor and Chair of the Department of Radiation Oncology at the University of Kansas Medical Center, shared a post on LinkedIn:
“Historically in radiation, we treat the whole tumor. But we’re doing research on a novel approach in radiation that may be revolutionary for cancer care.
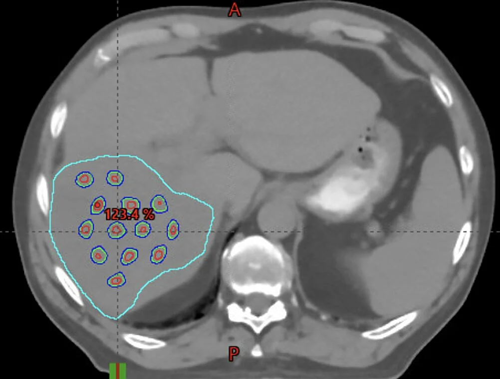
It’s called Grid Radiation Therapy.
Historically, we would try to treat an entire tumor and not miss any part of it. Which makes sense, right?
However, Grid Radiation Therapy is a completely different approach.
Instead of treating the whole tumor, you just treat a dot pattern through the tumor. It seems high-dose radiation in a dot pattern can be very effective and has less side effects. This approach may be especially relevant for tumors that are very large.
We are conducting a clinical trial The University of Kansas Cancer Center combining Grid Radiation Therapy with immunotherapy, and we’ve seen some dramatic tumor responses!
It’s something we’re excited about The University of Kansas Cancer Center, and what we will continue actively researching for future patients.”

More posts featuring Ronald Chen.