Medhat Ashour, National Sales Director at Rology, shared a post on LinkedIn:
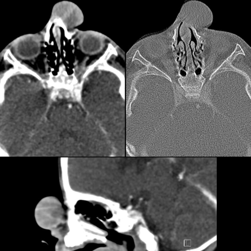
“Infant with a nasal mass.
Axial CT with contrast of the face in soft tissue (above left) and bone (above right) windows shows a nasal mass of soft tissue density arising off the dorsal aspect of the nose and splaying the nasal bones.
Sagittal CT (below) shows there is no evidence of intracranial extension.
The diagnosis was nasal glioma.

More posts featuring Gliomas on OncoDaily.