Liang Cheng, Director of Anatomic Pathology and Director of Molecular Pathology at Lifespan Academic Medical Center, Vice Chair for Translational Research at the Warren Alpert Medical School of Brown University, and President at the International Society of Urological Pathology, shared a post on LinkedIn about a paper he co-authored with colleagues published in Human Pathology:
“Have you seen this newly recognized WHO tumor entity? I’m delighted to share this comprehensive review just published in Human Pathology (PMID: 41475433), beautifully written by Gahie, Hui-Min, and my colleagues.
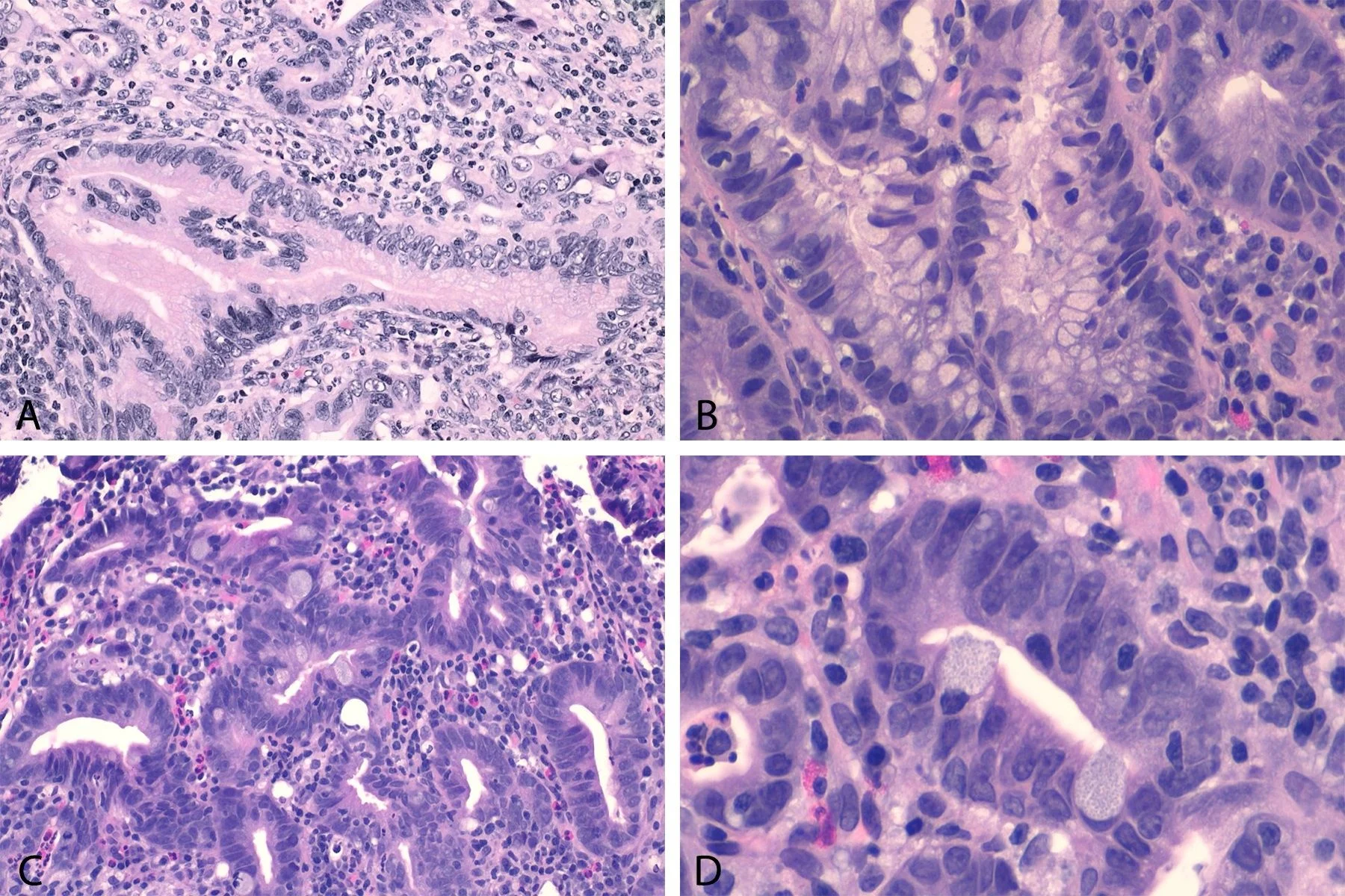
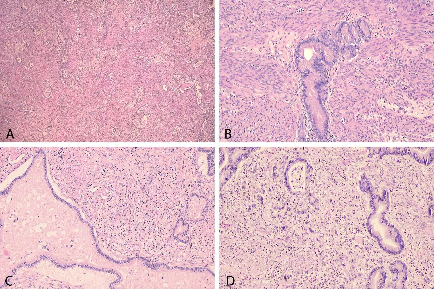
Endometrial gastric (gastrointestinal) -type mucinous adenocarcinoma (EGMA) is a rare histologic subtype of endometrial carcinoma that has recently included as a new WHO entity and is now recognized by the 2023 FIGO staging system as an aggressive histologic subtype. Previously, these tumors often overlapped diagnostically with endometrioid carcinomas showing mucinous differentiation; however, EGMA is now clearly established as a distinct clinicopathologic entity with more aggressive behavior.
Morphologically, tumor cells show gastric and/or intestinal differentiation with variable cytologic atypia. Immunohistochemically, ER and PR are negative or only focally positive (<5%), while tumor cells express gastrointestinal markers, including CDX2, MUC6, HIK1083, and SATB2. Clinically, EGMA is associated with a higher likelihood of deep myometrial invasion, lymphovascular invasion, and lymph node metastasis.
At present, complete surgical resection – including hysterectomy with bilateral salpingo-oophorectomy, tumor debulking, with or without pelvic/paraaortic lymph node dissection -appears to be the most effective primary treatment. Adjuvant chemotherapy is also likely beneficial, particularly for higher-stage disease.
This review emphasizes the importance of judicious use of immunohistochemistry, careful morphologic evaluation, and close correlation with clinical history to accurately diagnose EGMA and distinguish it from important mimics.”
Title: Endometrial gastric (gastrointestinal)-type mucinous adenocarcinoma: Diagnostic criteria, differential diagnosis, and molecular insights
Authors: Ga Hie Nam, Hui Min Tan, M. Ruhul Quddus, Jinhong Dong, Kamaljeet Singh, C James Sung, and Liang Cheng.
You can read the Full Article in Human Pathology.

More posts featuring Liang Cheng.