Jana Ivanidze, Physician/scientist at Weill Cornell Medicine, shared a paper she and her colleagues authored on X:
“Just in time for Radiological Society of North America – our multi institutional, multidisciplinary collaboration integrating fluciclovine PET into brain tumor management is now published in The American Journal of Neuroradiology.
Very grateful to Ramon Barajas for co-leading this work!
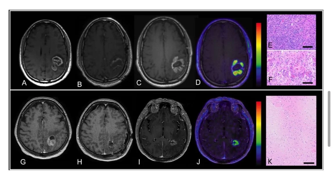
One of the most challenging aspects of glioblastoma is post radiochemotherapy evaluation – is it tumor progression? Or RT sequela?
We have known for years that amino acid PET improves our diagnosis confidence – thanks to FET PET work from Norbert Galldiks and colleagues.
Here, we sought to validate Ali Nabavizadeh’s pioneering study demonstrating utility of fluciclovine – the only currently FDA approved amino acid PET tracer – in the routine clinical context.
Read the full article: Distinguishing Progression from Pseudoprogression in Glioblastoma Using 18F-Fluciclovine PET
Evaluating retrospectively a multi institutional, clinical real-world cohort of patients with GBM in the post chemo-RT setting, we found excellent diagnostic accuracy of fluciclovine in differentiating PD from treatment related change.


Thankful for the many collaborators who brought their brain tumor expertise across disciplines and academic institutions Weill Cornell Medicine, OHSU News, Columbia Medicine, Penn Medicine, and especially my friend Ramon Barajas whose determination made this possible.”
Title: Clinical Utility of [F18]-Fluciclovine PET/MRI for Differentiating True Progression from Treatment-Related Changes in Patients with Glioblastoma
Authors: Jana Ivanidze, Kellen Vo Vu, Rongwei Fu, Andrew Brandmaier, Laszlo Szidonya, Gagandeep Choudhary, Jay Starkey, Tony J. Wang, Michael Sisti, L. Guy McKhann, Sushant Puri, Marcus Konner, Michelle Roytman, Eaton Lin, Andrew Kuhn, Joseph R. Osborne, Philip E. Stieg, Kathryn Beal, Rohan R. Ramakrishna, Gagandeep Singh, Angela Lignelli-Dipple, Mikhail Doubrovin, Anh Huan Vo, Mary Welch, Fabio Iwamoto, Aya Haggiagi, Laura Donovan, Maria Diaz, Brian Gill, Benjamin Liechty, David J. Pisapia, Josh Walker, Rajiv S. Magge, Matthew Wood, Valentina Marulanda Corzo, Olabisi R. Sanusi, Ahmed Raslan, Aclan Dogan, Stephen Bowden, Sadek A. Nehmeh, Joshua Nickerson, Nadine Mallak, Amber Ruiz, Prakash Ambady, Ali Nabavizadeh and Ramon F. Barajas
You can read the full article in The American Journal of Neuroradiology.
