Anirban Maitra, Scientific Director of Sheikh Ahmed Center for Pancreatic Cancer Research and Professor of Pathology and Translational Molecular Pathology at The University of Texas MD Anderson Cancer Center, shared a post on LinkedIn about a recent article he and his colleagues co-authored, adding:
“Brain metastases in Pancreatic Cancer. A retrospective series written by Dan Zhao, Huamin Wang, and colleagues.
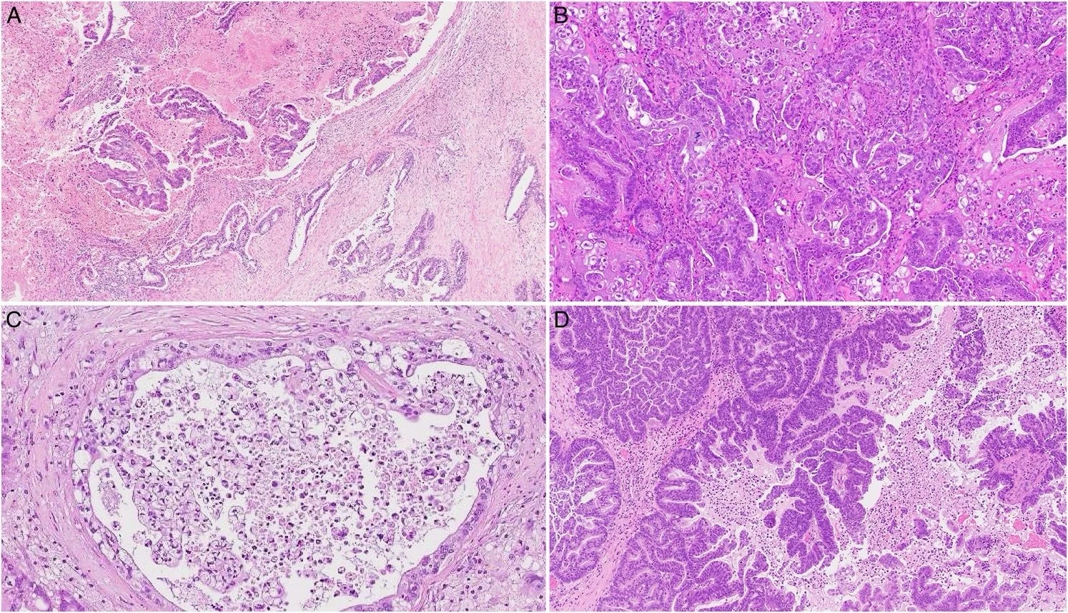
Brain metastases in pancreatic cancer occur late in the natural history of the disease, in contrast to liver/peritoneum/lung metastases. I was particularly struck by the cystic papillary nature of the lesions, likely representing an epithelial (classical) lineage state of the cells that metastasize to the brain.”
Title: Clinicopathologic Characteristics of Brain Metastasis of Pancreatic Ductal Adenocarcinoma
Authors: Shaimaa Elzamly, Mouaz Alsawas, Mahmoud M.G. Yousef, Dan Zhao, Matthew H.G. Katz, Laura R. Prakash, Hua Wang, Ziang Li, Robert A. Wolff, Anirban Maitra, Huamin Wang
Read the Full Article on The American Journal of Surgical PathologyÂ

More posts featuring Anirban Maitra.