Anass El Ghalbouni, Physician-Researcher at UMC Utrecht, shared a post on LinkedIn about a recent article he and his colleagues co-authored, adding:
“An insightful case, treated at UMC Utrecht, has just been published as Image of the Month in the European Journal of Nuclear Medicine and Molecular Imaging.
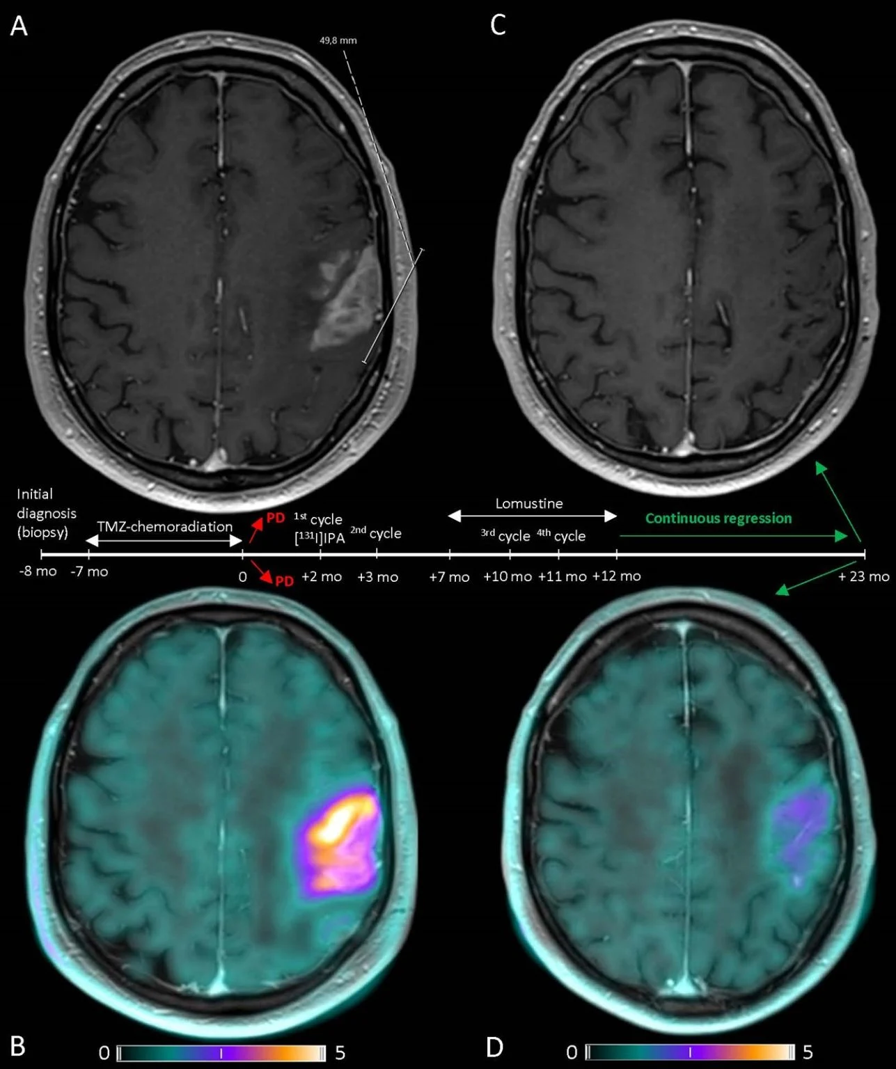
The case highlights the promising effects of Iodofalan (131I) ([131I]IPA), a targeted radionuclide therapy, in the treatment of (recurrent) glioblastoma. Several trials on radionuclide therapy, including Iodofalan, are currenlty in preperation or ongoing at UMC Utrecht and internationally!
Realized with the support of Tom Snijders, Nelleke Tolboom and Arthur Braat!”
Title: Near complete response recurrent glioblastoma after treatment with [131I]-Iodofalan
Authors: A. El Ghalbouni, T. J. Snijders, N. Tolboom, A. J. A. T. Braat
Read the Full Article on European Journal of Nuclear Medicine and Molecular Imaging

Derek Johnson, Chair of Division of Nuclear Medicine at Mayo Clinic Rochester, shared this post, adding:
“Love to see people and industry parters who are not afraid of the hard problems. Malignant glioma is very high on that list. I will be thrilled if radiopharmaceutical therapies are part of the solution. It would bring together the two parts of my personal professional journey.”
More posts about glioblastoma.