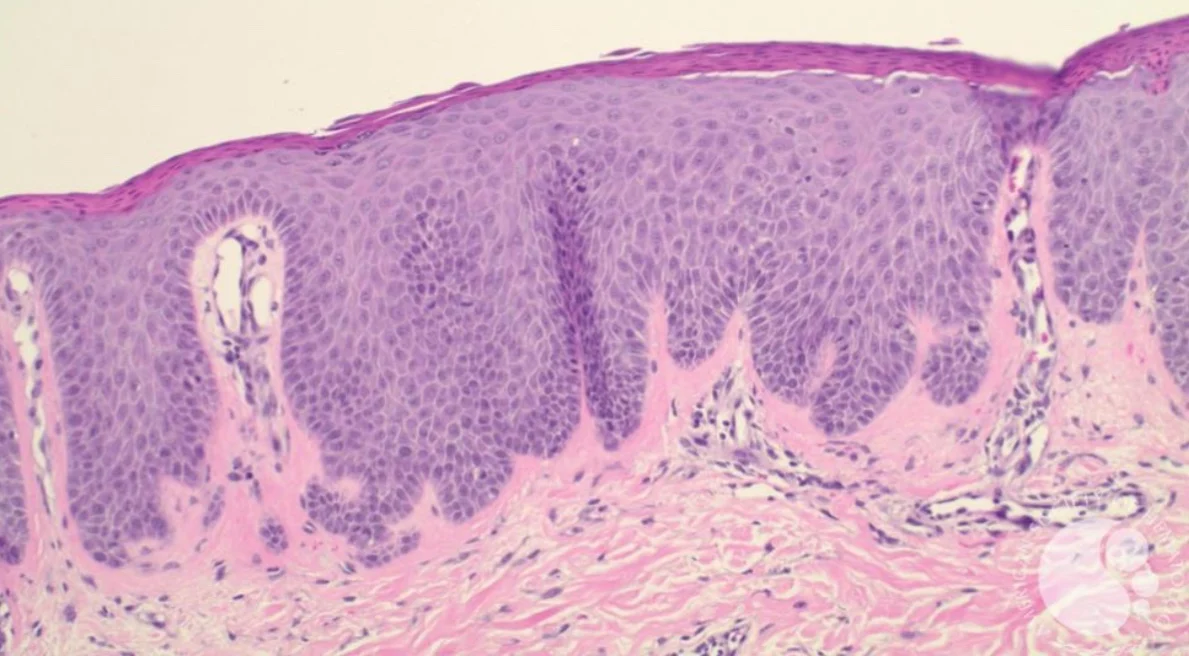
Al-Ola Abdallah, Associate Professor and Plasma Cell Disorder Program Director of the Division of HMCT at the University of Kansas Medical Center, shared a post on X:
“Cutaneous Psoriasis-Like Reaction to Talquetamab | ASH Image Bank | American Society of Hematology”

More posts featuring Al-Ola A. Abdallah on OncoDaily.