Wafik S. El-Deiry, Director of Legorreta Cancer Center at Brown University and Chair of the WIN Consortium in Cancer Personalized Medicine, shared a post on LinkedIn:
“Great discussions of challenging cases at today’s WIN Consortium in cancer personalized medicine international MTB including two cases I presented patients with mCRC and either BRAF V600E or KRAS G12C.
Helpful discussions given emerging resistance mechanisms in the setting of the BRAF mutation with ARID1A, SMAD4, KRAS, and PIK3CA mutations and for the KRAS G12C options for future therapy beyond sotorasib plus panitumumab being tried for first time at 4 years into the course of the mCRC therapy.
The KRAS G12C had previously cleared the liquid biopsies with chemo but continues to be a driver after re-emerging.
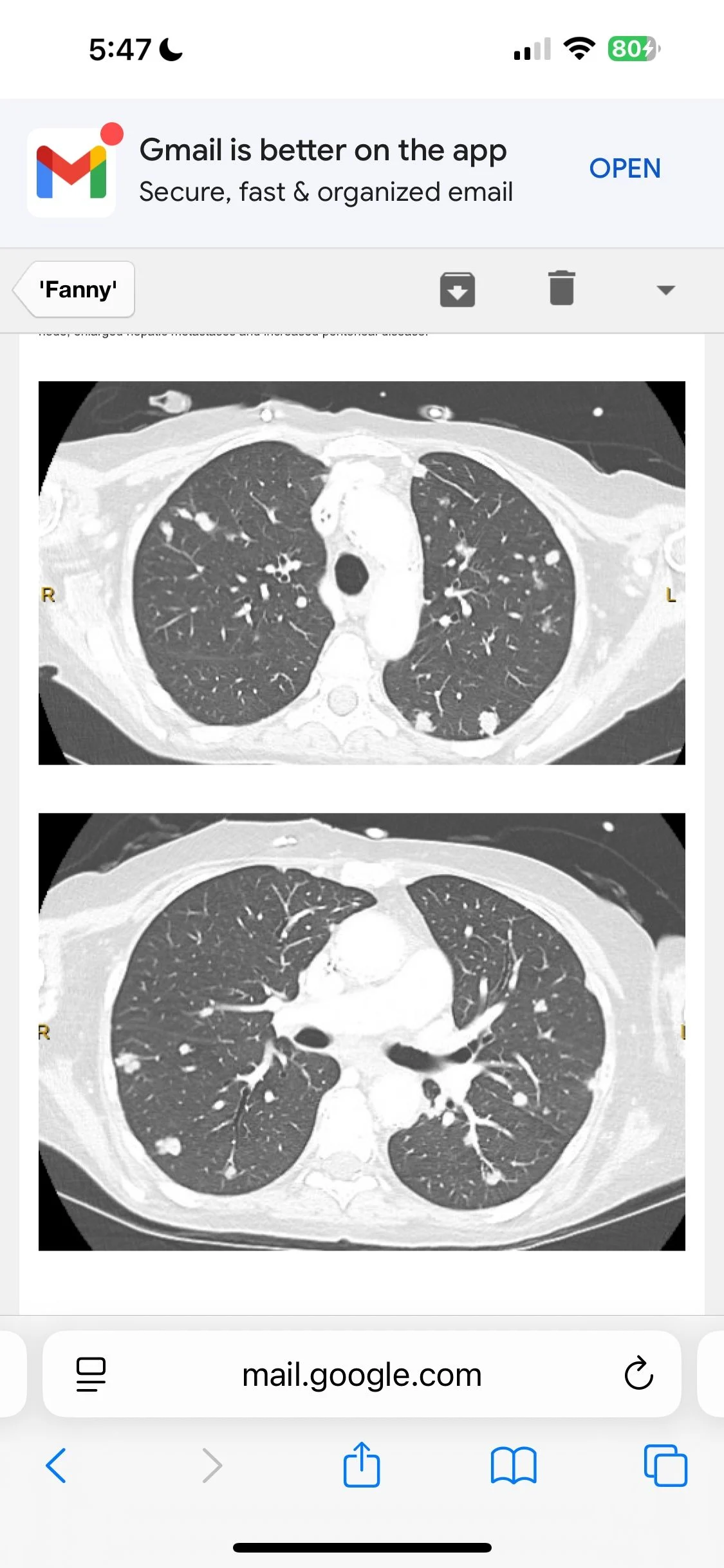
Dr. Limaye presented a challenging case of EGFR (Exon 19 deletion) and MET-Amplified non TTF1 expressing metastatic lung adenocarcinoma that presented with ovary involvement. The tumor had p53 mutation, CDKN2A/B deletion.
Discussion focused on targeting EGFR and MET in her ongoing therapy.”

More posts featuring Wafik S. El-Deiry.