Wafik S. El-Deiry, Director of Legorreta Cancer Center at Brown University and Chair of the WIN Consortium in Cancer Personalized Medicine, shared a post on LinkedIn:
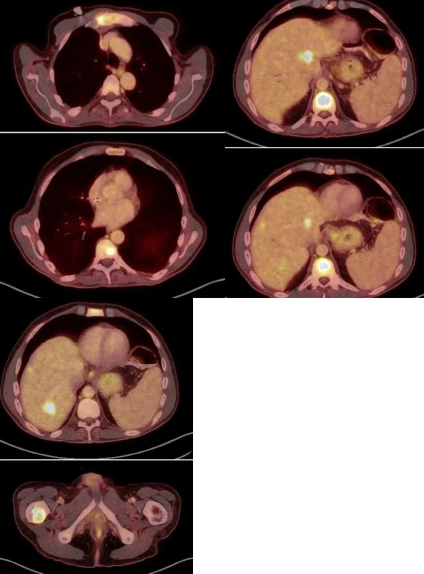
“Great discussions at today’s WIN Consortium in cancer personalized medicine international MTB of challenging cases including a case I presented of a patient with long-standing Crohn’s disease with metastatic jejunal adenocarcinoma with neuroendocrine features, MSS, EGFR and CDK6 amplification, among other alterations without available drugs, Ki67>90% with liver, bone, pleural and mesenteric metastases. Great discussion of diagnostic, disease monitoring and precision therapy options for the disease previously treated in the way CRC is treated but with prior progression with high proliferation index.
Future options for consideration included Lutathera pending a dotatate scan, palliative radiotherapy for symptomatic spine metastases, combinations that include double anti-EGFR blockade with Cetuximab plus erlotinib, targeting CDK6 with an anti-CDK4/6 inhibitor, TKIs including low dose regorafenib, anti-VEGF therapy, and targeting beta-catenin with mebendazol while still considering immunotherapy combinations with caveats due to EGFR amplification and Crohn’s disease in a later line of treatment.”

More posts featuring Wafik S. El-Deiry on OncoDaily.