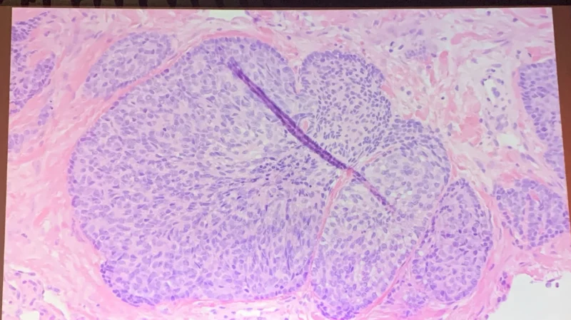
Ting Zhao, Pathology Fellow at Massachusetts General Hospital, shared a post on X:
“Fascinating GU case presented by Dr. Samson Fine: a challenging case of umbilical mass harboring EWSR1:FEV fusion.
Great learning experience!”

Other articles featuring Ting Zhao on OncoDaily.