Sanam Loghavi, Associate Professor of Pathology at MD Anderson Cancer Center, Medical Director of ECOG-ACRIN Leukemia Bank and Editor in Chief of Image Bank at the American Society of Hematology, shared a post on X:
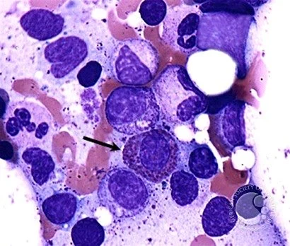
“So you know what an eosinophil looks like but had you ever seen an eosinophilic myelocyte ?!
Learn to recognize normal cellular precursors as they mature in the BM Image by: Peter Maslak, ASH Image Bank.”

Other articles featuring Sanam Loghavi on OncoDaily.