Rahul Bhargava, Director and Head of Hematology, Hemat0-oncology, and Stem Cell Transplant at Fortis Health Care, shared a post on LinkedIn:
“When Teams Work Together, Outcomes Become Phenomenal
A 65-year-old gentleman, dependent on recurrent blood transfusions for nearly 2 years, came to us with one simple hope – a correct diagnosis and the right treatment.
What followed is a powerful example of how teamwork + precision diagnostics = life-changing care:
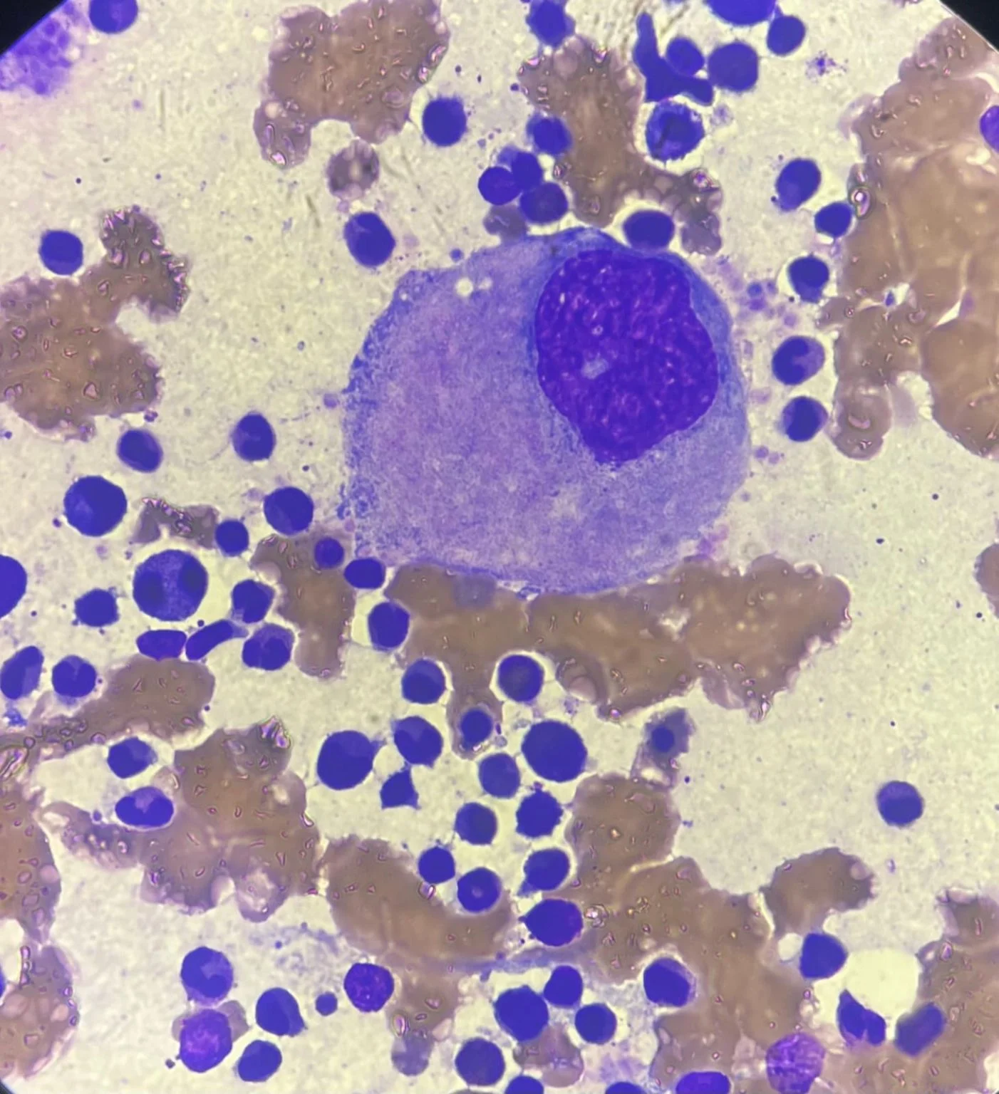
Bone marrow aspiration and biopsy
→ Completed and reported within 6 hours by Dr Aastha Gupta and Dr Rajul Bodkha , showing dysplasia
Molecular confirmation
→ Within 48 hours, Dr Shrinidhi Nathany’s identified an SF3B1 mutation, clinching the diagnosis
Targeted solution
→ This enabled initiation of first-in-class targeted therapy – Luspatercept, addressing the root cause rather than continuing endless transfusions
This is what “Test More. Treat Less. Treat Right.” truly means.
At Fortis Hematology, we are seeing the future unfold –
- Faster diagnostics
- Molecular-driven decisions
- Targeted therapies
- Better patient outcomes
Key message:
Anemia is not just low hemoglobin. Anemia work-up matters.
Correct diagnosis changes lives.
Building teams. Building trust. Building a brighter future in Hematology.”

More posts featuring Rahul Bhargava on OncoDaily.