Robert Orlowski, Deputy Chair of Lymphoma/Myeloma, Vice Chair of MM Research, and Florence Maude Thomas Cancer Research Professor at the University of Texas MD Anderson Cancer Center, shared a post on X:
“Myeloma Paper of the Day:
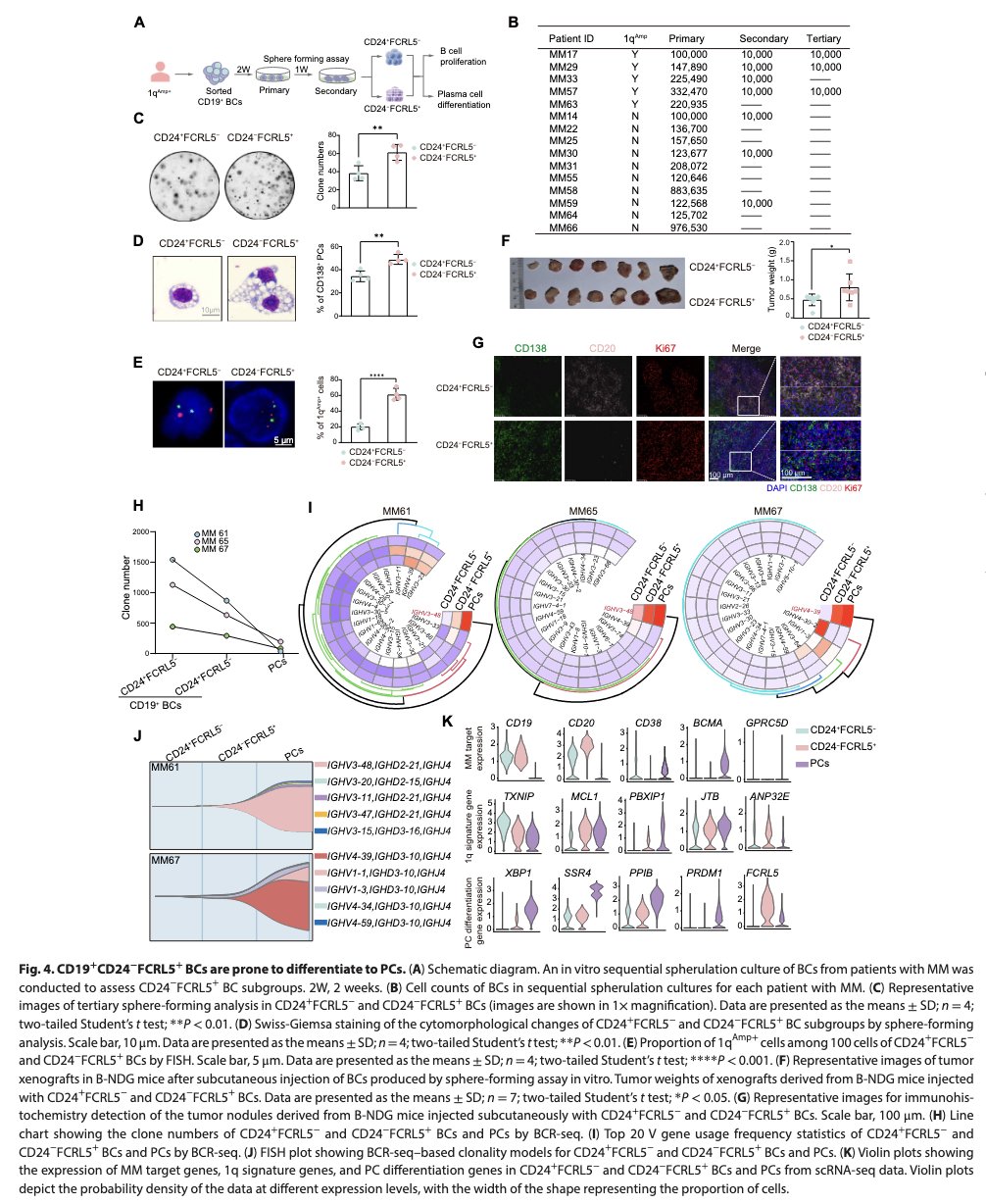
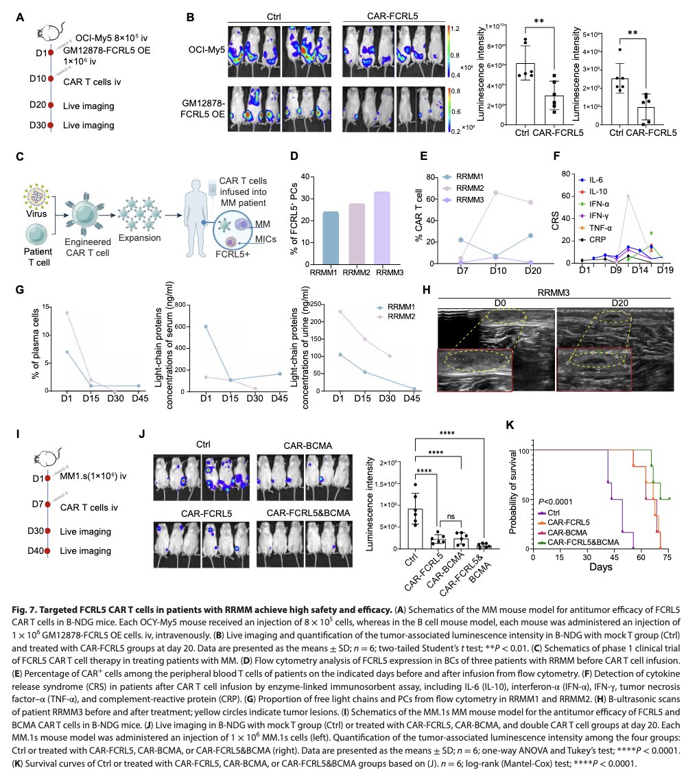
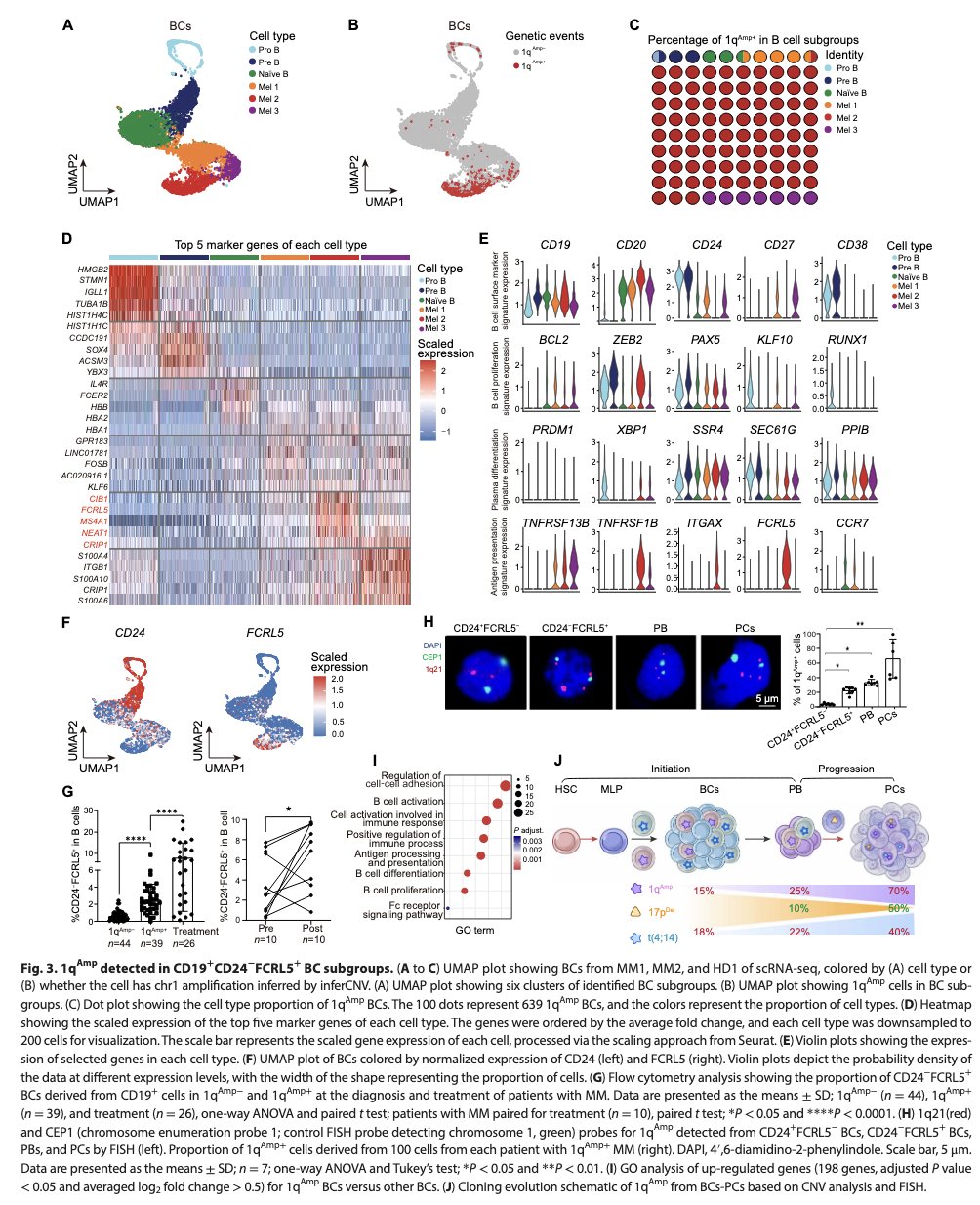
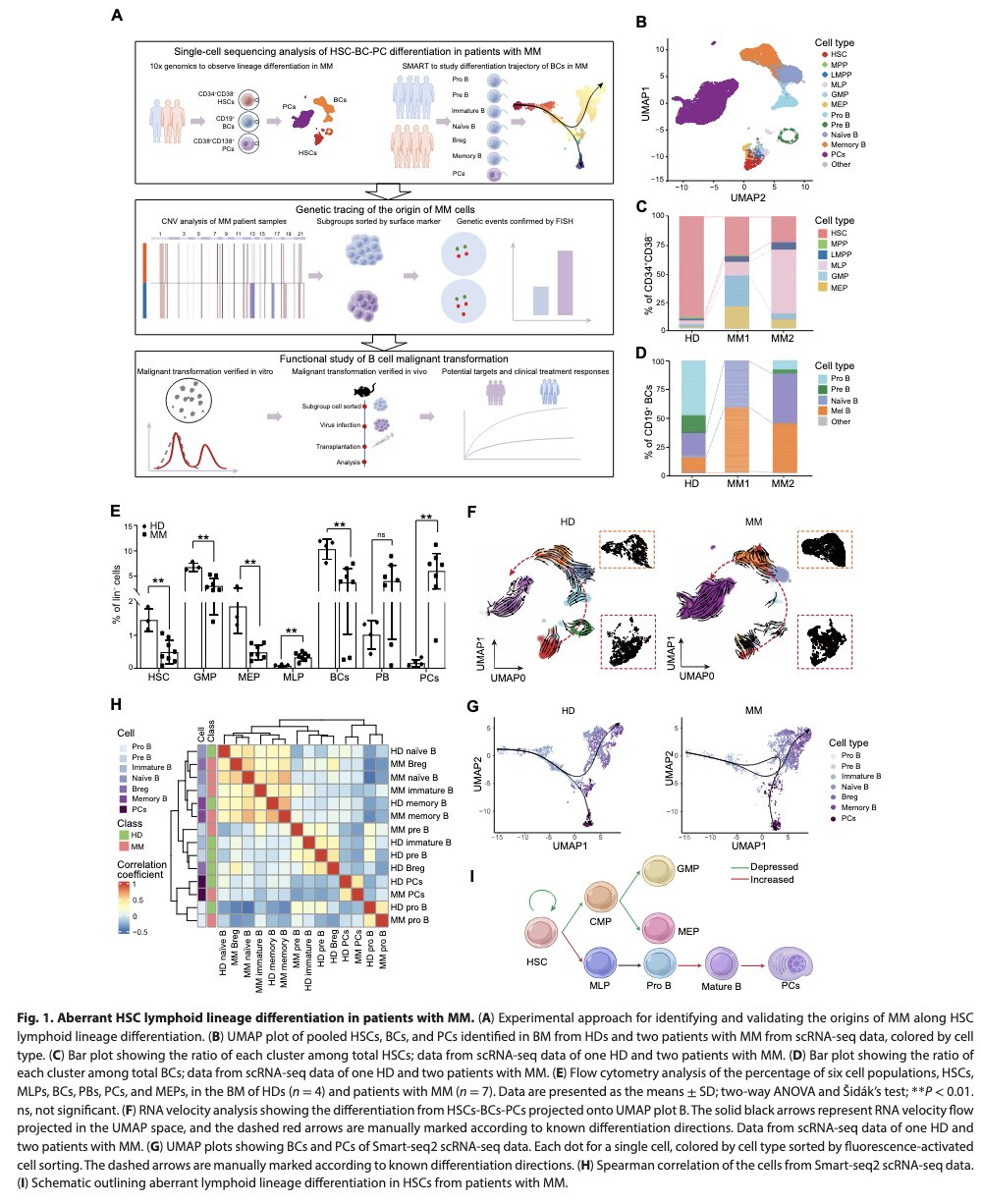
Study of malignant transformation in myeloma-initiating cells finds 1qAmp originates from CD24-FCRL5+ B-cells, del 17p occurs at plasma cell stage, and FCRL5 facilitated malignant plasma cells via interaction with IRF4/SPI1.”
Title: Targeting the origins of multiple myeloma along hematopoietic stem cell lymphoid lineage differentiation
Authors: Jiaojiao Guo, Yaru Li, Zhiling Yan, Qing Li, Zhenhao Liu, Zhengjiang Li, Ruiqi Zhou, Nihan He, Yinghong Zhu, Xiaoshuang Wang, Xun Chen, Yi Qiu, Liang Zhao, Fangming Shi, Yanjuan He, Sha Hao, Jia Yu, Lu Xie, Jiaxi Zhou, Jian Li, Gang An, Xiangling Feng, Wei Jia, Xiaochen Bo, Kailin Xu, Tao Cheng, Hebing Chen, and Wen Zhou
You can read the Full Article in Science Translational Medicine.

You can find more posts featuring Robert Orlowski on OncoDaily.