Liang Cheng, Director of Anatomic Pathology and Director of Molecular Pathology at Lifespan Academic Medical Center, Vice Chair for Translational Research at the Warren Alpert Medical School of Brown University, and President at the International Society of Urological Pathology, shared a post on X:
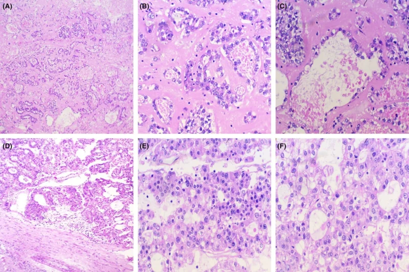
“Congratulations to Anandi Lobo, and colleagues on this landmark study, defining the molecular landscape of clear cell adenocarcinoma of the urinary bladder in Histopathology (PMID: 41537408). Clear cell adenocarcinoma of the bladder is a rare and highly aggressive tumor. In this large series, the authors identify a distinct oncogenic landscape, most commonly characterized by activation of the PI3K – AKT- mTOR pathway, driven by gain-of-function mutations in PIK3CA (74%) and/or KRAS (26%).
These tumors also frequently harbor loss-of-function mutations in key tumor suppressor genes (TP53, SMAD4, RB1, APC) and activating mutations in proto-oncogenes such as ERBB2 and MET. This study also highlights the molecular heterogeneity of this rare malignancy and identifies actionable therapeutic targets. Notably, mTOR inhibitors may offer therapeutic benefit in selected cases, particularly when PI3K/AKT/mTOR pathway alterations are present.
These findings provide a strong rationale for molecularly informed clinical trials and underscore the importance of comprehensive genomic profiling to guide precision therapy in this challenging and aggressive tumor. Full article is available.”

Title: Molecular characterization of clear cell adenocarcinoma of the urinary bladder
Authors: Shilpy Jha, Anandi Lobo, Ankur R Sangoi, Shivani R Kandukuri, Sourav K Mishra, Samriti Arora, Aditi Aggarwal, Shivani Sharma, Ekta Jain, Mahmut Akgul, Andres M Acosta, Niharika Pattnaik, Seema Kaushal, Manas Baisakh, Sudhasmita Routa, Nada Shaker, Jasreman Dhillon, Anil V Parwani, Sean R Williamson, Sambit K Mohanty, Liang Cheng
Read The Full Article

More posts featuring Liang Cheng on OncoDaily.