Liang Cheng, Director of Anatomic Pathology and Director of Molecular Pathology at Lifespan Academic Medical Center and Vice Chair for Translational Research at the Warren Alpert Medical School of Brown University, shared a post on X about a paper he co-authored with Anandi Lobo published in Endocrine Pathology:
“Just published.
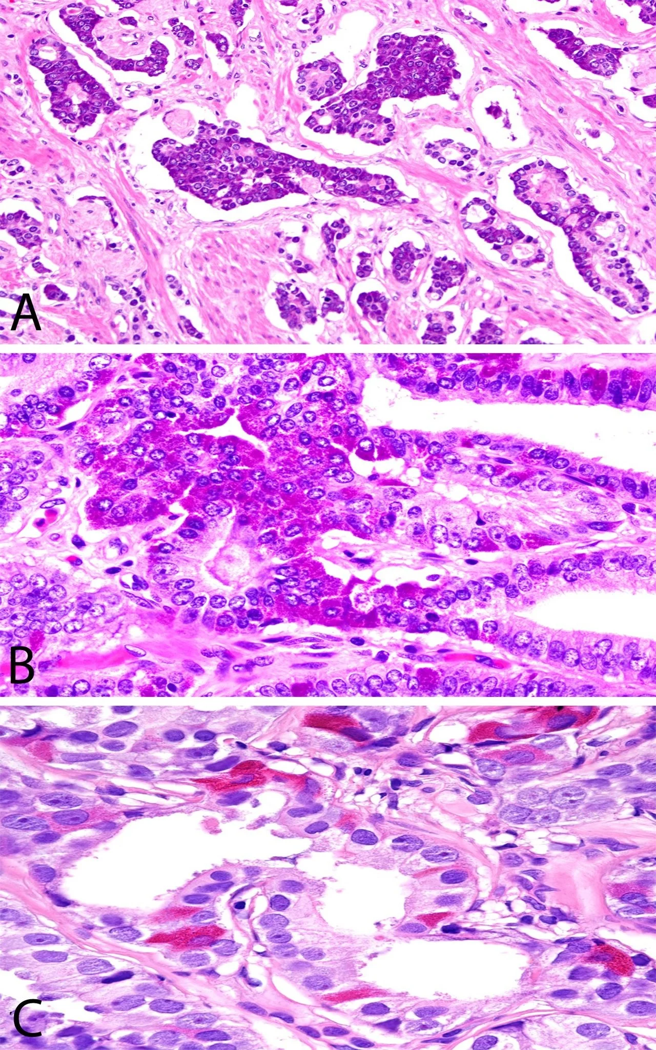
Prostatic neuroendocrine tumors are a rare but highly aggressive spectrum of prostate cancers whose biology is shaped by AR suppression, tumor suppressor loss, oncogene activation, transcriptional reprogramming, and epigenetic plasticity.
Current classification systems remain inadequate to capture their diversity, necessitating a prostate-specific model that integrates morphology, molecular features, and clinical setting.
Advances in molecular diagnostics, liquid biopsy, targeted therapies, immunotherapy, and theranostics are beginning to open new therapeutic avenues. A shift toward molecularly informed classification and management offers the best chance of improving stratification, treatment selection, and survival in this challenging group of tumors.”
Title: Reappraisal of Neuroendocrine Tumor Classification of the Prostate Gland: Translating Molecular Insights into Clinical Practice
Authors: Anandi Lobo and Liang Cheng
You can read the Full Article in Endocrine Pathology.

More posts featuring Liang Cheng.