Elisabetta Bonzano, Medical Director and Radiation Oncologist at IRCCS San Matteo Polyclinic Foundation, shared a post on X:
“Top 10 Tips for Stereotactic Body Radiation Therapy Contouring and Planning in Oligometastatic Disease: Lessons Learned From the UK SBRT QA Program.
- Standardize definitions.
- Optimize use of supporting imaging.
- Motion management.
- Optimize patient preparation.
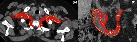
- Use all available TPS tools to optimize contouring.
- Check auto-contouring output.
- Appropriate use of OAR dose-volume constraints.
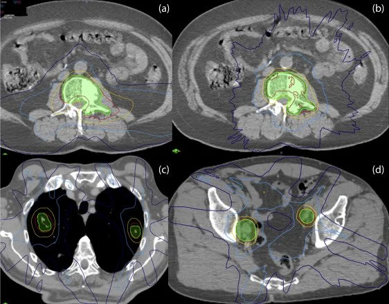
- Maximize PTV coverage.
- Conform tightly to the PTV.
- Managing multiple lesions.”
Title: Top 10 Tips for Stereotactic Body Radiation Therapy Contouring and Planning in Oligometastatic Disease: Lessons Learned From the UK SBRT QA Program
Authors: Patricia Díez, Emma M. Dunne, Rushil Patel, Christopher Dean, Sarah Osman, Fiona McDonald

Other Articles Featuring Elisabetta Bonzano On OncoDaily.