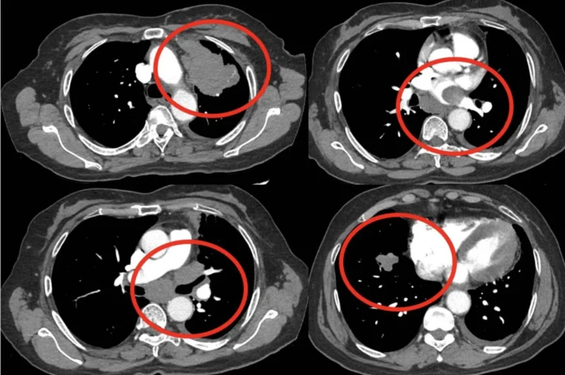
Balazs Halmos, Professor of Medicine at Montefiore Health System, shared a post on X:
“The patient with a broken heart.
Patient in mid 60s with past smoking history presented with chest discomfort and dyspnea.
Evaluation with CTA showed no PE but demonstrated a very large LUL mass with direct extension into mediastinum and L atrium and additional R sided lung lesions c/w st4 disease.
Cardiac MR and ECHO confirm a mobile mass in L atrium contiguous w LUL mass. Path shows lung adenoca, PD-L1 TPS score >90%, ctDNA+ for K-Ras G12C.
Tumor board review: surg/IR interventions not feasible, XRT likely not safe/effective, chemo – concern as to heme tox with heart invaded. Patient started on single agent IO.”

Other articles featuring Balazs Halmos on OncoDaily.