Anirban Maitra, Scientific Director of Sheikh Ahmed Center for Pancreatic Cancer Research and Professor of Pathology and Translational Molecular Pathology at The University of Texas MD Anderson Cancer Center, shared a post about an article on X:
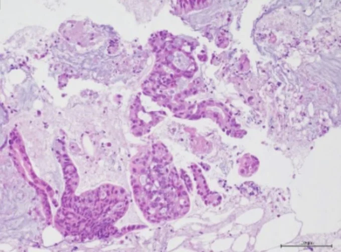
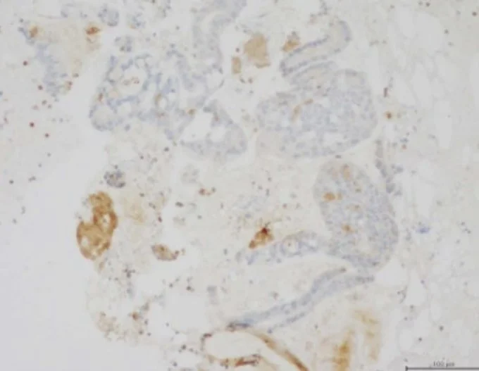
“Facile assessment of MTAP status in Pancreatic Cancer by immunohistochemistry on core biopsies.
Important as PRMT5 inhibitor trials expand in this disease and other solid cancers.
Title: MTAP in small biopsy samples of pancreatic lesions: a potential diagnostic biomarker. Immunohistochemical, fluorescence in situ hybridization and molecular analysis
Authors: Stefano Lucà  , Cecilia Salzillo , Valeria Masola , Ferdinando De Vita , Danilo Porpora , Giovanni Conzo , Giovanni Savarese , Roberto Sirica , Immacolata Cozzolino , Eduardo Clery , Federica Zito Marino , Renato Franco , Marco Montella

More posts featuring Anirban Maitra on OncoDaily.